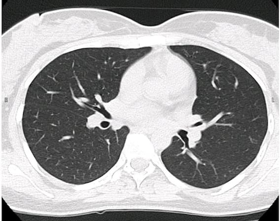
અમદાવાદઃ કોરોનામાં મોત પામેલા દર્દીઓની ઓટોપ્સી પૂર્ણ થઈ છે. મોત બાદ 400 ગ્રામના ફેફસા 3થી 4 કિલો થઈ ગયા હોવાનો દાવો ઓટોપ્સી કરનાર તબીબ દ્વારા કરવામાં આવ્યો છે.  હવે ઓટોપ્સી અંગેનો રિપોર્ટ રાજ્ય સરકારને સોંપાશે. કોરોનામાં મોત પામેલા દર્દીઓને શરીરમાં કોરોના કેટલી અસર કરે છે, જેનો અલગથી વિભાગ શરૂ કરવામાં આવ્યા બાદ ફોરેન્સિક સાયન્સ વિભાગ દ્વારા 11 મૃતક દર્દીઓના પોસ્ટમોર્ટમ કરવાની પ્રક્રિયા પૂર્ણ થઈ છે. પોસ્ટમોર્ટમ દરમિયાન સામે આવેલી વાયરસની અસરથી તબીબો પણ ચિંતિત છે. 

150 પરિવારોને પોતાના સ્વજનના મૃતદેહ આપવાની અપીલ બાદ 11 મૃતદેહ ફોરેન્સિક સાયન્સ વિભાગને મળ્ય હતા. પોસ્ટમોર્ટમ દરમિયાન સામે આવ્યું કે દર્દીના 400 ગ્રામના ફેફસા પથ્થર જેટલા કડક થઇ ગયા હતા અને તેનું વજન 3 થી 4 કિલોગ્રામ થઈ ગયું હતું. સાથે જ શરીરની અંદર આવેલી નસોમાં પણ લોહી જામી જવાની સ્થિતિ જોવા મળી હતી. જે અંગે સિવિલ હોસ્પિટલના ઓટોપ્સી વિભાગ દ્વારા રિપોર્ટ તૈયાર કરીને આગામી સમયમાં રાજ્ય સરકારને સોંપવામાં આવનાર છે.

ચાર શહેરોમાં  નાઇટ કર્ફ્યૂ

ગુજરાતના ચાર મોટા શહેરોમાં રાજ્યની વિજય રૂપાણી સરકારે રાત્રિ કર્ફ્યૂની ફરી એકવાર જાહેરાત કરી છે. અમદાવાદ, વડોદરા, સુરત અને રાજકોટમાં આવતી કાલે 17મી માર્ચથી રાતે 10 વાગ્યાથી સવારે 6 વાગ્યા સુધી નાઇટ કર્ફ્યૂની જાહેરાત કરવામાં આવી છે. આગામી 31મી માર્ચ સુધી આ નાઇટ કર્ફ્યૂ અમલી રહેશે. હવે રૂપાણી સરકારે વધુ એક મોટો નિર્ણય લીધો છે. રાતના 10 પછી આ ચાર શહેરમાં એસટી બસ પ્રવેશ નહીં કરે. એસટી નિગમ દ્વારા આ નિર્ણય લેવાયો છે. ચારેય કરફ્યુગ્રસ્ત શહેરોમાં આ નિર્ણય લાગુ પડશે.

રાત્રી કરફ્યુના નિર્ણય પર st વિભાગ સજ્જ  થઈ ગયું છે. એસટીમાં મુસાફરી કરતા પેસેંજરો માટે મહત્વના સમાચાર સમાચાર આવ્યા છે. 4 મહાનગરોમાં રાત્રે 10 વાગ્યા બાદ બસો નહીં જાય. પેસેંજરોને રાત્રે 10 વાગ્યા બાદ ન નીકળવા st નિગમે અપીલ  કરી છે. એડવાન્સ બુકીન્સના પેસેંજરોને ટેલિફોનીક  સૂચના  આપવામાં આવી છે. મહાનગરો સિવાયના પેસેંજરોને રિંગરોડથી અન્ય સ્થળ પર લઇ જવાશે. આજથી જ પેસેંજરોને 10 વાગ્યા બાદ ન નીકળવા st નિગમે અપીલ કરી છે. 

કોંગ્રેસના ધારાસભ્યનો સરકાર પર આક્ષેપ

કોંગ્રેસના નેતા અને ધારાસભ્ય ગ્યાસુદ્દીન શેખે નાઇટ કર્ફ્યૂ અને કોરોનાના સંક્રમણ મુદ્દે  મોટું નિવેદન આપ્યું છે. ગ્યાસુદ્દીન શેખે જણાવ્યું હતું કે, કોરોના કેસ વધવા પાછળ સરકાર જવાબદાર છે. ચૂંટણી ન કરવા બાબતે હાઇકોર્ટમાં પીએલઆઈ કરી હતી. ચૂંટણીમાં રાજકીય મેળાવડા થયા, ચૂંટણીમાં છૂટછાટને લીધે કોરોના વિસ્ફોટ થયો છે. નરેન્દ્ર મોદી સ્ટેડિયમમાં લોકો એકઠા થયા તેનાથી સંક્રમણ વધ્યું.  65 હજાર કરતા વધુ લોકો ક્રિકેટ જોવા એકઠા થયા હતા. તેમણે ઉમેર્યું હતું કે, કરફ્યુના નિર્ણયથી નાના વ્યાપારીની સ્થિતિ કફોડી બનશે. સરકાર 12 થી 6નું કરફ્યુ રાખે તેવી માંગ પણ કરી હતી. 168 કરોડ રૂપિયા માસ્કના મને ખંખેરવામાં આવ્યા હોવાનો આક્ષેપ પણ સરકાર પર તેમણે કર્યો હતો. 

રાજ્યમાં વધતા જતા કોરોના સંક્રમણને ધ્યાને લઈને રાજ્ય સરકારે આવતી કાલ તા.17 માર્ચ 2021થી ચાર મહાનગરો અમદાવાદ, વડોદરા, સુરત અને રાજકોટમાં રાત્રે 10 થી સવારે 6 વાગ્યા સુધી રાત્રિ કરફ્યુ નો અમલ કરવાનો નિર્ણય કર્યો છે. રાત્રિ કરફ્યુની આ વ્યવસ્થા 31 માર્ચ 2021 સુધી અમલમાં રહેશે. રાજ્ય સરકારે આ ચારેય મહાનગરોમાં મંગળવાર 16 માર્ચ એટલે કે આજે રાત્રે કરફ્યુના સમયની અગાઉની વ્યવસ્થા એટલે કે રાત્રે 12 થી સવારે 6 વાગ્યા સુધીની વ્યવસ્થા યથાવત રાખવાનો નિર્ણય કર્યો છે અને આવતીકાલ એટલે કે 17 માર્ચથી રાત્રે 10 થી સવારે 6 વાગ્યા સુધી કર્ફ્યુ રહેશે. 

નીતિન પટેલનું નિવેદન

ગુજરાતમાં સ્થાનિક સ્વરાજની ચૂંટણીઓ પછી કોરોનાએ ઉથલો માર્યો છે, ત્યારે રાજ્યના મહાનગરોમાં વકરી રહેલા કોરોનાને લઈને ગુજરાતની રૂપાણી સરકારે મોટો નિર્ણય લીધો છે અને જે તે શહેરમાં કોરોનાનું સંક્રમણ અટકાવવા માટે જરૂરી પગલા ભરવાની સત્તા મનપા કમિશ્નરોને આપવામાં આવી છે.

નાયબ મુખ્યમંત્રી નીતિન પટેલે જણાવ્યું હતું કે, ગુજરાતમાં નાઇટ કર્ફ્યૂની મુદત ગઈ કાલે પૂરી થઈ ગઈ છે. આજે મુખ્યમંત્રી વિજય રૂપાણીની અધ્યક્ષતામાં મળનારી હાઇપાવર કમિટીની મીટિંગમાં નાઇટ કર્ફ્યૂ અંગે નિર્ણય લેવામાં આવશે. તેમણે એમ પણ જણાવ્યું હતું કે, કોઈ કારણસર કમનસીબે ગુજરાતમાં ફરીથી કોરોનાના કેસો વધી રહ્યા છે. શહેરોનાં કમિશ્નરોને સૂચના આપી છે, પોતાના શહેરનાં નિર્ણયો કમિશ્નરો લઇ શકે છે. આજે ગ્રૂપની બેઠકમાં કર્ફ્યૂ અંગે કયો સમય રાખવો, કેટલો સમય રાખવો, કયા વિસ્તારોમાં રાખવો, બીજા શું પગલા લેવા તે અંગેનો નિર્ણય સાંજ સુધીમાં લેવામાં આવશે.